Studio Dentistico Buniato Torino - Eccellenza medica

Un sorriso non è solo un sorriso.
È un'affermazione.

3500+ Pazienti visitati ogni anno
15+ anni esperienza
Formazione Internazionale (Zurigo, Dubai, USA, Madrid, Vienna…)
5.0★ Google (138 recensioni)

Quando il Nostro Approccio Fa la Differenza

A Torino e provincia ci scelgono soprattutto quando servono chiarezza clinica, naturalezza, comfort e gestione rigorosa dei casi complessi.

Riabilitazioni Complesse

Scopri di più

Implantologia, rigenerazione ossea, riabilitazioni su impianti e denti naturali: casi in cui contano pianificazione, precisione e capacità di gestire la complessità senza scorciatoie.

Estetica Discreta

Scopri di più

Per chi desidera naturalezza, proporzione e sobrietà. Non un sorriso appariscente, ma un risultato armonico con il volto e credibile nella vita professionale e sociale.

Paura, Ansia, Comfort

Scopri di più

Per chi ha rimandato, ha avuto esperienze negative o vuole semplicemente un percorso ordinato, spiegato bene e gestito con rispetto dei tempi, del dolore e della privacy.

Seconda Opinione e Chiarezza

Scopri di più

Per chi vuole capire cosa è davvero indicato, quali alternative esistono, quali limiti ci sono e perché un piano di cura abbia senso prima di iniziare.

Come Lavoriamo, e Perché Fa la Differenza

"L'eccellenza non è solo il risultato finale: è il modo in cui un caso viene ascoltato, pianificato e accompagnato fino a un esito stabile e naturale."

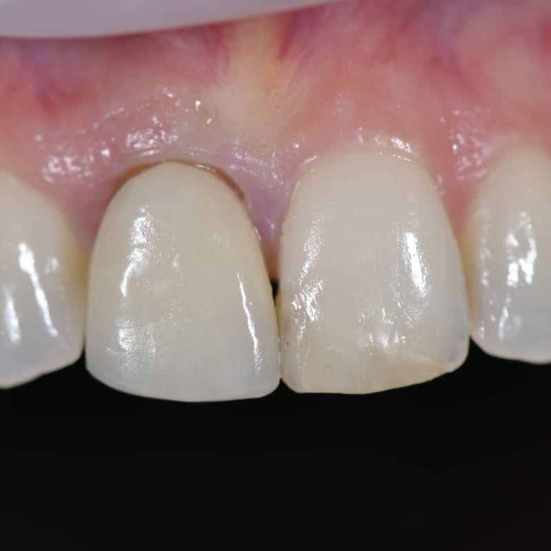
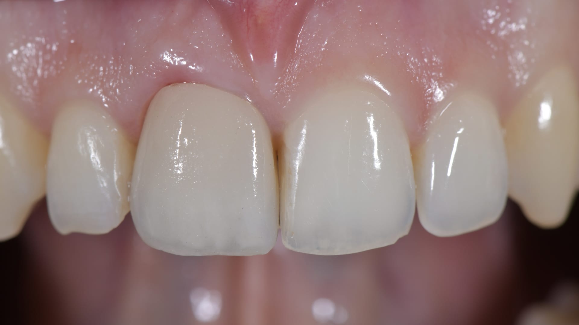
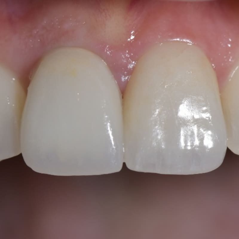
Trattamento estetico con faccette dentali sartoriali a Torino - Studio Buniato

Un Progetto Costruito Attorno al Caso

Ogni percorso parte da ascolto, diagnosi e priorità reali. Non proponiamo un trattamento standard, ma una soluzione coerente con funzione, estetica, tempi e aspettative della persona.

Sala operativa moderna e sterile dentista Torino Studio Buniato

Comfort, Ritmo, Controllo

Tecniche minimamente invasive, ambienti riservati e un team presente in ogni fase riducono stress, disagio e improvvisazione. L’obiettivo è permettere al paziente di affrontare la cura con serenità e orientamento chiaro.

Studio dentistico in centro a Torino ispirato all'eleganza della città

Naturalezza, Non Esibizione

Ispirati dalla sobrietà torinese, cerchiamo risultati armonici, credibili e durevoli. Materiali, tecnica e proporzioni servono a ottenere un sorriso che si integra con il volto, non a renderlo artificiale.

Formazione internazionale e tecnologia di precisione contano perché rendono la decisione clinica più solida, il percorso più leggibile e il risultato più prevedibile.

Chirurgia avanzata e rigenerativa

Estetica protesica e minimamente invasiva

Tecnologie di precisione

Visione olistica del volto

Master in Medicina Legale

Dott. Gianluca Maria Buniato - Esperto in chirurgia implantare e parodontologia a Torino
2026
Focus Digitale – Dott. Luca Mora. Approfondimento Riabilitazioni Complesse Estetiche Implantoprotesiche – Dott. Giacomo Fabbri. ORTHO Summit – Align Technology (Invisalign), Barcellona.
2025
Nobel Biocare Global Symposium – Las Vegas. Corso Annuale di Protesi Fissa – Massironi. Corso Avanzato Ortodonzia Invisalign II.
2024
Medicina Estetica del Viso (IAPEM, Milano). Chirurgia Ricostruttiva Ossea Avanzata – De Stavola. Evento Nobel Biocare – Bologna.
2023
Envista Summit – Dubai. Chirurgia Ricostruttiva Ossea – De Stavola. Gestione Tessuti Duri e Molli – Colombo.
2022
Implant Dentistry – Università di Zurigo. Corso Veneers – Fradeani & Bacherini. Envista Summit – Vienna.
2021
Restauro Protesico su Denti e Impianti – Fabbri. Medicina Orale, Diagnosi e Terapie – Milano. Corso avanzato Invisalign I.
Prima del 2020
Simposio Osteology – Torino. Alta Formazione in Laser Dentistry – Vicenza. Laurea in Odontoiatria – Università di Torino. Esperienza Internazionale – Universidad Alfonso X El Sabio, Madrid.

Cosa Cambia, Concretamente

Precisione, continuità e discrezione non sono promesse astratte: sono ciò che rende più chiaro, più stabile e più confortevole il percorso di cura.

Piani di Cura Leggibili

Scopri di più

Ogni proposta nasce per chiarire cosa si può ottenere, cosa richiede tempo, quali alternative esistono e quali passaggi servono davvero. Meno incertezza, più orientamento.

Comfort Senza Improvvisazione

Scopri di più

Appuntamenti ordinati, tempi rispettati, team presente, tecnologie che riducono invasività e disagio. Il comfort non è un dettaglio: è parte del risultato.

Qualità Verificabile

Scopri di più

Formazione documentata, protocolli chiari, materiali premium, collaborazioni selezionate e risultati reali. La qualità conta quando è leggibile, non quando viene solo dichiarata.

Discipline d'Eccellenza, per Esigenze Precise

Implantologia complessa, estetica discreta, ortodonzia invisibile e terapie di precisione: ogni percorso nasce dal caso, non da un trattamento uguale per tutti.

Intervento di implantologia computer guidata Torino - Studio Buniato

Riabilitazione Implantare: Il Ritorno all'Integrità

Riafferma la tua presenza. Un ritorno all'integrità funzionale, eseguito con precisione micro-chirurgica e discrezione assoluta. Utilizziamo la Chirurgia Guidata per interventi minimamente invasivi e un comfort post-operatorio ottimale.

L'esperienza quindicennale del Dott. Buniato permette di affrontare anche i casi più complessi, come quelli con volume osseo minimo, utilizzando tecniche rigenerative avanzate. Utilizziamo solo impianti di qualità premium per risultati duraturi e affidabili.

Scopri di più sull'Implantologia Nobel Biocare →

Faccette in ceramica prima e dopo - Estetica dentale Torino

Estetica Sartoriale: Faccette d'Arte

La sublimazione del tuo sorriso. Le nostre faccette in ceramica artigianale sono capolavori stratificati a mano, progettati per armonizzarsi invisibilmente con la tua fisionomia, garantendo un risultato naturale e duraturo.

Un processo di collaudi e prove estetiche permetterà di pre-visualizzare il risultato finale prima di iniziare. Il nostro approccio sartoriale, unito alla nostra competenza e visione artistica, assicura un sorriso non solo impareggiabile, ma autenticamente tuo.

Scopri le Faccette in Ceramica Feldspatica →

Ortodonzia invisibile con allineatori trasparenti Torino

Allineamento Discreto: L'Eleganza del Movimento

L'arte dell'allineamento invisibile. Una correzione efficace e raffinata, pianificata digitalmente per garantire risultati predicibili senza compromettere il tuo stile di vita. Discrezione e comfort a qualsiasi età.

La scansione 3D apre le porte ad una precisa pianificazione digitale di ogni movimento, mostrandoti una simulazione virtuale del risultato prima ancora di iniziare. Precisione e prevedibilità, anche nei bambini, per guidare lo sviluppo corretto delle arcate.

Cure dentali con microscopio operatorio Leica a Torino per massima precisione

Conservazione e Micro-Endodonzia: La Precisione Invisibile

La preservazione dell'autenticità. Interventi di restauro e cura canalare eseguiti interamente sotto microscopio operatorio, garantendo una precisione micro-chirurgica per salvare l'integrità del dente naturale con la massima affidabilità.

L'uso del microscopio aumenta significativamente i tassi di successo, permettendo di individuare canali nascosti e aree apparentemente inaccessibili. Denti un tempo considerati irrecuperabili, hanno nuove chance di essere salvati. In casi complessi, la cone beam computed tomography (CBCT) localizzata ci fornisce una visione 3D dettagliata per una diagnosi impeccable.

Scopri l'Endodonzia al Microscopio →

Risultati Reali, nel Contesto del Caso

Ogni trasformazione va letta insieme a funzione, stabilità, naturalezza e percorso svolto. Le immagini mostrano l'esito, il valore sta in come ci si arriva.

Restauri completi in ceramica feldspatica

Un sorriso luminoso che trasforma lo sguardo e ridefinisce l'armonia del volto.

Riabilitazione Complessa su impianti e denti naturali

Ricostruire la funzione, riscoprire la sicurezza di un sorriso completo.

Estetica e Naturalezza senza compromessi

Tornare a sorridere senza limiti, in un solo giorno.

Ortodonzia Invisibile

L'allineamento perfetto, in totale discrezione.

Un Team Costruito per Continuità e Precisione

Clinica, assistenza e patient care lavorano come un unico percorso. È qui che chiarezza, puntualità e comfort diventano esperienza reale.

Dott. Gianluca Maria Buniato - Direttore Sanitario Dentista Torino
Dott. Buniato
Direttore Sanitario
Assistente alla poltrona Studio Dentistico Buniato Torino
Giorgia
Patient Care
Dott.ssa Sofia Preatoni - Ortodonzia e dentista per bambini Torino
Dott.ssa Preatoni
Ortodonzia e Pedodonzia
Staff clinico e assistenza pazienti dentista Torino
Tiziana
Patient Care
Dott. Giacomo Baima - Specialista parodontologia e cura gengive Torino
Dott. Baima
Parodontologia

Collaborazioni d'Eccellenza

Collaborazione laboratorio odontotecnico estetico Oral Design
Maestri Artigiani del Sorriso
Laboratori Odontotecnici dotati delle più moderne tecnologie e capaci delle tecniche manuali più sofisticate.
Partner tecnologici implantologia e digitale Studio Buniato
Partner Tecnologici Globali
Fornitori Leader Mondiali (Planmeca, Leica, 3Shape) per garantire standard qualitativi assoluti.

Tecnologia d'Avanguardia al Tuo Servizio.

Selezioniamo tecnologie che riducono incertezza, invasività e margini di errore. Precisione, comfort e sicurezza hanno valore quando migliorano davvero la cura. Scopri tutte le nostre tecnologie →

Domande che Contano Prima di Scegliere

Risposte chiare su dolore, tempi, prima visita, costi, privacy e gestione dei casi complessi. Per ogni altro dubbio, il nostro team è a tua disposizione.

Lo Studio Dentistico Buniato è il punto di riferimento a Torino per chi cerca eccellenza odontoiatrica che vada oltre la semplice cura. Il nostro studio fonde 15 anni di esperienza internazionale e l'adozione di tecnologie avanzate (microscopia, imaging 3D) con un approccio basato sulla visione artistica e sulla personalizzazione sartoriale di ogni restauro.

Foto di Gabriella Tuninetti
★★★★★

"È un vero professionista completo a 360°! Super tecnologico e aggiornato: non potrei essere più soddisfatta dei risultati ottenuti."

— Gabriella Tuninetti, su Google

Puoi prenotare chiamando il 011 4373857, via WhatsApp, oppure online dalla sezione Contatti del sito. Il nostro Patient Care è disponibile per organizzare la tua consulenza privata nel modo più comodo per te.

Foto di Bin HUANG
★★★★★

"Il sistema di prenotazione degli appuntamenti è stato molto pratico, con una procedura online semplice e veloce."

— Bin HUANG, su Google

La Prima Consulenza Specialistica include un'analisi diagnostica completa, radiografie digitali (se necessarie), scansione intraorale 3D e una discussione approfondita con il Dott. Buniato per definire il percorso di cura personalizzato. È il fondamento di ogni trattamento d'eccellenza.

Foto di Claudio Rossetto Casel
★★★★★

"Fin dalla prima seduta sono rimasto meravigliato per l'attenzione e la chiarezza con le quali mi venivano proposte soluzioni."

— Claudio Rossetto Casel, su Google

Sì, riserviamo ogni giorno disponibilità dedicate per urgenze e richieste tempestive. Contattaci telefonicamente al mattino al 011 4373857 oppure verifica la disponibilità online per ottenere priorità.

Foto di Sarah Azimi
★★★★★

"L'ho contattato e mi ha fissato un appuntamento immediato considerando l'urgenza della situazione."

— Sarah Azimi, su Google

Certamente, l'Estetica Sartoriale è una delle nostre principali discipline. Offriamo un ampio spettro di soluzioni, dai sbiancamenti professionali discreti fino alle esperienze trasformative complete del sorriso tramite faccette in ceramica artigianali, progettate su misura per armonizzarsi perfettamente con il tuo stile e la tua fisionomia.

Foto di Caterina Gobbin
★★★★★

"Il mio sorriso è completamente cambiato e finalmente mi sento sicura nel mostrarlo! Risultati che non avrei mai pensato possibili."

— Caterina Gobbin, su Google

No, il nostro approccio è minimamente invasivo. Grazie all'uso del microscopio operatorio e a tecniche adesive avanzate, preserviamo la massima quantità di smalto naturale. Spesso la preparazione è minima o addirittura assente (faccette no-prep), rendendo il restauro sicuro e conservativo.

Foto di Elena Forti
★★★★★

"È riuscito a risolvere un problema non banale ad una corona che si protraeva da anni, con attenzione anche all'estetica oltre che alla funzionalità."

— Elena Forti, su Google

Lo sbiancamento professionale eseguito in studio dura dai 12 ai 24 mesi. La durata effettiva varia in base alle abitudini individuali (fumo, caffè, vino rosso) e all'igiene orale. Forniamo protocolli di mantenimento personalizzati (GBT) per prolungare la brillantezza del sorriso.

Il Dott. Buniato vanta oltre 15 anni di esperienza in implantologia, con formazione internazionale specifica (es. Zurigo) e specializzazione in chirurgia computer guidata. L'implantologia è un pilastro del nostro studio e il Dott. Buniato gestisce casi complessi con precisione micro-chirurgica e expertise riconosciuta.

Foto di Pasquale Pellegrini
★★★★★

"Ho frequentato lo studio per diversi mesi per eseguire un impianto dentario totale delle due arcate, con una professionalità maniacale."

— Pasquale Pellegrini, su Google

No, l'intervento di implantologia è indolore grazie all'anestesia locale. Non si avverte alcun dolore durante la procedura. La Chirurgia Computer Guidata lo rende inoltre meno invasivo, riducendo significativamente gonfiore e disagio post-operatorio per un recupero rapido e sereno.

Foto di Anna Santagati
★★★★★

"Essendo una persona fortemente odontofobica, affrontare un intervento di questa portata rappresentava una sfida. Il dottor Buniato si è distinto per la straordinaria pazienza e sensibilità umana."

— Anna Santagati, su Google

Il carico immediato è una tecnica avanzata che permette di posizionare gli impianti e applicare una protesi fissa provvisoria nell'arco della stessa giornata (o entro 24 ore). Questo significa che puoi tornare a sorridere e masticare immediatamente, senza dover attendere i tradizionali mesi di guarigione con soluzioni mobili.

Foto di Giovanni PLAZZA
★★★★★

"Ottima la mia esperienza per l'installazione di un nuovo impianto: eccellenti la professionalità e l'empatia del Medico Dentista e all'avanguardia le tecnologie."

— Giovanni PLAZZA, su Google

Sì, lo studio è dotato delle più avanzate tecnologie odontoiatriche. L'investimento in tecnologia è centrale nella nostra pratica e utilizziamo strumenti all'avanguardia per garantire la massima precisione e comfort. Questo include l'imaging 3D CBCT a basso dosaggio (Planmeca), scanner intraorali (3Shape) per impronte digitali e microscopi operatori (Leica) per interventi minimamente invasivi.

Foto di Matteo Fasano
★★★★★

"Studio dentistico con tecnologie all'avanguardia e personale di grande professionalità. Operazioni programmate ed eseguite alla perfezione."

— Matteo Fasano, su Google

Sì, tutti i trattamenti sono progettati per essere confortevoli e indolori. Utilizziamo le tecniche anestesiologiche più recenti e tecnologie come il laser e l'Airflow con acqua riscaldata (GBT) per assicurare un'esperienza rilassante e completamente priva di dolore.

Foto di Flavio Greco
★★★★★

"Intervento indolore rapido e di tutta eccellenza."

— Flavio Greco, su Google

Sì, abbiamo un protocollo dedicato per pazienti con ansia o fobia del dentista. Ti guidiamo passo dopo passo, spiegando ogni procedura con calma e trasparenza. L'ambiente rilassante dello studio e l'attenzione empatica del team ti aiuteranno a sentirti a tuo agio e sicuro durante tutto il percorso.

Foto di Giorgia Brautigam
★★★★★

"Anche chi, come me, odia andare dal dentista… la sua capacità di mettere a proprio agio e dare serenità, con una pazienza incredibile."

— Giorgia Brautigam, su Google

Il nostro approccio si distingue perché è profondamente olistico e personalizzato (bespoke). Non ci limitiamo a guardare il singolo dente, ma consideriamo l'intera architettura del viso e le esigenze uniche del paziente. L'obiettivo finale è rafforzare la fiducia in se stessi, non solo ottenere un risultato clinico tecnicamente perfetto.

Foto di Alessandro Soldi
★★★★★

"Molto scrupoloso nella cura dei dettagli degli interventi e del progetto definito con il cliente. Mette il paziente a proprio agio curandone il benessere."

— Alessandro Soldi, su Google

Assolutamente sì. La privacy dei nostri pazienti è una priorità fondamentale. Garantiamo appuntamenti esclusivi, programmati per evitare attese e sovrapposizioni, in un ambiente tranquillo e riservato. La gestione dei dati e delle comunicazioni avviene con la massima discrezione.

Foto di Rosalba Seminara
★★★★★

"Il personale è professionale e la segreteria è ben organizzata per informazioni, appuntamenti e memo. Attenti alle sensibilità specifiche dell'utenza."

— Rosalba Seminara, su Google

La tua riservatezza è sacra. Oltre a una gestione discreta degli appuntamenti, adottiamo rigidi protocolli per la protezione dei dati sensibili in conformità con le normative vigenti (GDPR). Il nostro impegno è garantire che la tua storia clinica e personale rimanga esclusivamente tua.

La prima visita è un accesso diagnostico dedicato a comprendere il caso, definire le priorità cliniche e impostare un percorso di cura coerente. Radiografie, CBCT, scansioni o altri approfondimenti non vengono eseguiti di default: li indichiamo solo quando sono realmente necessari e li condividiamo come prestazioni distinte prima dell'esecuzione.

Certamente! Il nostro team è selezionato non solo per l'elevata competenza tecnica, ma anche per le doti umane e comunicative. Crediamo fermamente che un ambiente accogliente e un personale empatico siano fondamentali per rendere la tua visita serena, confortevole e completamente priva di stress.

Lo studio si trova in Corso Francia 30, Torino (10143), a pochi passi dalla fermata metro Principi d'Acaja. Siamo facilmente accessibili dal centro, dalla Crocetta, Cit Turin e dalle principali vie di comunicazione. La nostra posizione centrale ci rende il punto di riferimento per una clientela esigente proveniente da tutta Torino e provincia.

Sì, tutte le nostre 138 recensioni Google sono autentiche e verificate. Siamo orgogliosi della trasparenza e dell'autenticità del feedback che riceviamo. Tutte le recensioni provengono da pazienti reali che hanno sperimentato i nostri servizi, e il nostro rating attuale (5.0/5.0) riflette il nostro impegno costante per l'eccellenza.

Wall of Trust

Per chi vuole verificare prima di scegliere: recensioni Google e riferimenti esterni ufficiali dello studio e del Dott. Buniato.

★★★★★
Google

Valutazione Eccezionale: 5.0/5.0

Oltre ai contenuti del sito, qui trovi le superfici esterne che usiamo davvero per recensioni, profilo studio e profilo medico.

Parlaci del Tuo Caso

Il primo passo per capire se siamo la scelta giusta per te.

Il Nostro Patient Care è a Tua Disposizione

Per iniziare il tuo percorso personalizzato, utilizza il nostro Patient Care, contattaci telefonicamente o via email. Gestiamo le richieste con la massima priorità e discrezione. In caso di urgenza, consigliamo il contatto telefonico immediato.

Orari di Apertura

Lunedì - Giovedì: 08:30 - 19:00

Venerdì: 08:30 - 16:00

Sabato - Domenica: Chiuso

Contatti Diretti

Telefono Studio: +39 011 4373857

Email: reception@buniato.it

WhatsApp Patient Care (Info/Appuntamenti): +39 342 5096364

WhatsApp Emergenze Mediche: +39 329 4738155

Indirizzo

Studio Dentistico Dott. Buniato Gianluca Maria

Corso Francia 30, 10143 Torino (TO), Italia

Nel cuore di Torino, facilmente accessibile. Fermata Metro Principi d'Acaja. A pochi minuti da Porta Susa, Piazza Statuto, e Cit Turin.