Parodontologia d'Eccellenza.
Tessuti Stabili, Risultati Più Sicuri.
"Le gengive non sono un dettaglio estetico. Sono il confine biologico che protegge denti, impianti e durata del risultato."
Quando la Parodontologia Fa la Differenza
La parodontologia entra in gioco quando servono tessuti stabili, diagnosi chiara e mantenimento serio. È il livello che protegge nel tempo denti, impianti, corone e risultati estetici, soprattutto quando il problema non è ancora evidente ma sta già compromettendo la stabilità biologica del caso.
Il Dott. Gianluca Maria Buniato imposta diagnosi, priorità e integrazione con il piano di cura complessivo. Quando il quadro richiede un livello parodontale o mucogengivale più avanzato, il percorso si arricchisce dell'esperienza del Dott. Giacomo Baima, figura di riferimento in parodontologia.
Mantenimento Parodontale e Peri-Implantare
Prima della chirurgia c'è il controllo del biofilm, la qualità dei richiami e la stabilità dei tessuti.
Prima del Trattamento più Impegnativo
Quando il quadro è iniziale o già stabilizzato, il passaggio decisivo è un mantenimento coerente con il rischio reale del paziente. Questo vale ancora di più se sono presenti impianti, corone, faccette o una riabilitazione che deve restare pulibile e stabile.
Quando indicato, il protocollo include tecnologia EMS con approccio Airflow Prophylaxis Master, per gestire biofilm e pigmentazioni in modo più delicato e più preciso. L'obiettivo è semplice: intercettare presto il problema e ridurre la necessità di terapie più invasive, spesso già dalla prima visita specialistica.
Recessioni Gengivali e Chirurgia Mucogengivale
Quando il mantenimento non basta, la chirurgia deve essere selettiva, ben indicata e biologicamente coerente.
Quando l'Innesto Ha Senso
L'innesto di tessuto connettivo non è una scorciatoia cosmetica. È una procedura indicata quando serve proteggere meglio una radice esposta, aumentare spessore e qualità dei tessuti o rendere più stabile il margine gengivale.
Quando il livello mucogengivale richiede un approfondimento di primo ordine, il Dott. Giacomo Baima porta una competenza parodontale di riferimento. Il Dott. Gianluca Maria Buniato mantiene la regia complessiva del caso quando la decisione incide anche su estetica, riabilitazione o implantologia.
Quale Livello di Intervento Può Servire
Mantenimento Avanzato
Richiami calibrati sul rischio reale del paziente, con attenzione a gengive, impianti, restauri e stabilità dei tessuti nel tempo.
Terapia Causale
Controllo dell'infiammazione, istruzioni mirate, rivalutazione clinica e progressione solo quando serve davvero.
Innesto di Connettivo
Procedura selettiva per casi in cui protezione radicolare, spessore gengivale e stabilità del margine richiedono chirurgia mucogengivale.
Seconda Opinione
Analisi critica di diagnosi e piani già proposti per chiarire priorità, alternative e passaggi davvero necessari.
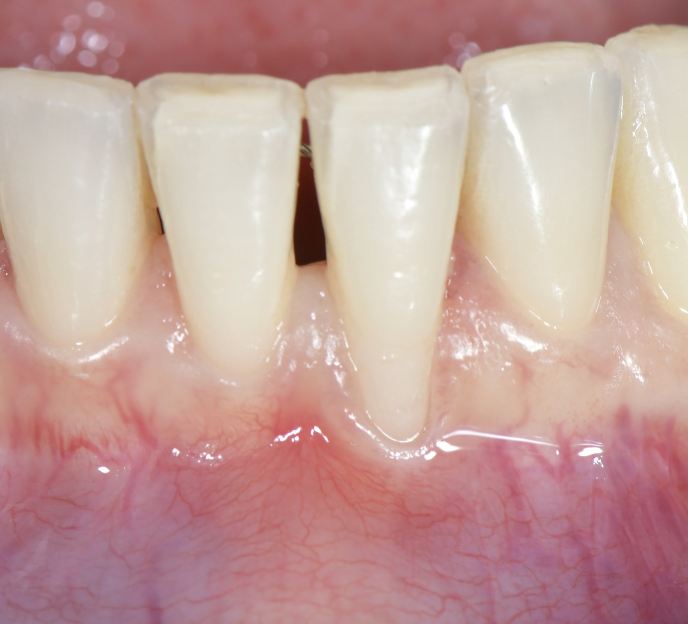
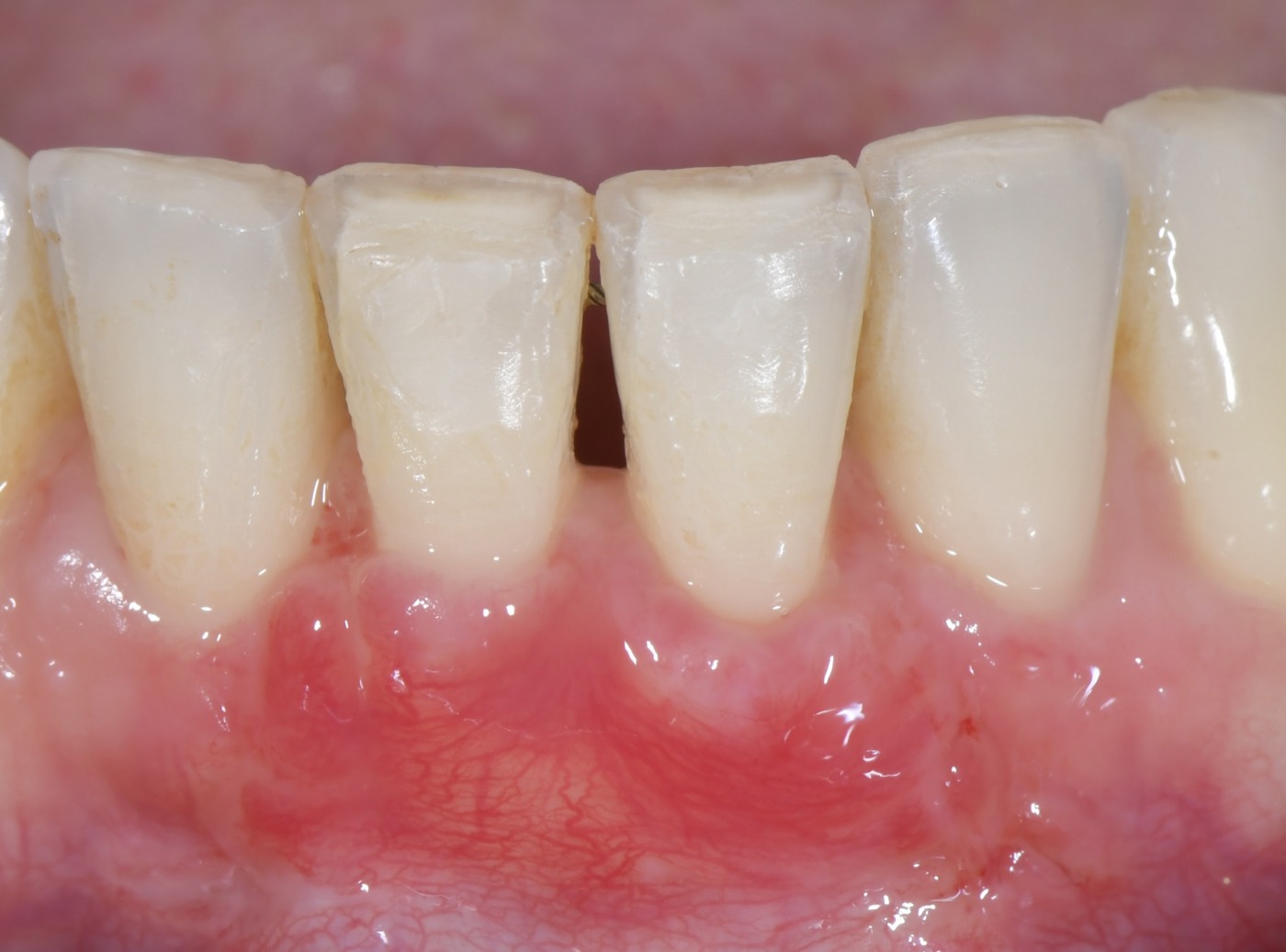
Risultati
Caso di recessione gengivale trattato con innesto di tessuto connettivo. Il punto è riportare protezione, stabilità e armonia ai tessuti.
Prima
Dopo
Perché la Parodontologia Conta Anche se Cerchi Estetica, Impianti o una Seconda Opinione
Molti percorsi apparentemente diversi hanno la stessa base: tessuti stabili, diagnosi corretta e mantenimento serio. Se questa base manca, anche il lavoro protesico o estetico diventa meno prevedibile.
Per questo, nello Studio Buniato, la parodontologia non è una disciplina laterale: è la condizione che rende più affidabile il risultato nel tempo.
Approfondimenti Utili per Diagnosi, Seconda Opinione e Percorso
In attesa di un corpus editoriale più dedicato alla parodontologia, qui trovi tre letture utili per orientarti tra diagnosi, tecnologia e qualità della valutazione clinica.
Prima Visita Dentista a Torino: Cosa Aspettarsi e Perché È Importante
La prima visita odontoiatrica è un’analisi diagnostica completa — non una semplice “occhiata ai denti”. Nello Studio Buniato a Torino dura circa…
CBCT dal Dentista a Torino: Quando Serve Davvero
La CBCT (Cone Beam Computed Tomography) è un esame radiologico tridimensionale che consente di visualizzare le strutture anatomiche del cavo orale con…
Cosa Rende un Dentista Eccellente? I Criteri che Contano Davvero
Scegliere a chi affidare la salute della propria bocca è una decisione importante. Non si tratta di trovare il nome più vicino…
Domande Frequenti sulla Parodontologia
Quando basta un mantenimento parodontale serio?
Quando il quadro è stabile ma richiede richiami più accurati per controllare biofilm, infiammazione, impianti o restauri. Il mantenimento serve proprio a evitare che un problema iniziale diventi più complesso.
Quando ha senso una visita parodontale dedicata?
Quando compaiono sanguinamento gengivale, recessioni, sensibilità al freddo, alito persistente o dubbi sulla stabilità di impianti e restauri. In questi casi un controllo generico rischia di essere insufficiente.
Le recessioni gengivali si possono correggere sempre?
Non sempre allo stesso modo e non sempre con lo stesso obiettivo. In alcuni casi basta stabilizzare i tessuti; in altri l'innesto di tessuto connettivo è indicato per aumentare protezione, spessore e comfort.
Se ho già impianti, faccette o corone, la parodontologia conta ancora?
Sì. La qualità dei tessuti molli influenza durata, pulibilità ed estetica del risultato. Per questo il mantenimento parodontale e peri-implantare resta centrale anche dopo le cure più importanti.
Quando ha senso una seconda opinione?
Quando è già stato proposto un trattamento chirurgico, implantare o restaurativo importante e vuoi chiarire priorità, alternative e tempi. Una seconda opinione serve soprattutto a capire cosa è davvero necessario e cosa no.
Riserva il Tuo Spazio
Il primo passo verso la tua trasformazione.
Il Nostro Patient Care è a Tua Disposizione
Per iniziare il tuo percorso personalizzato, utilizza il nostro Patient Care, contattaci telefonicamente o via email. Gestiamo le richieste con la massima priorità e discrezione. In caso di urgenza, consigliamo il contatto telefonico immediato.
Orari di Apertura
Lunedì - Giovedì: 08:30 - 19:00
Venerdì: 08:30 - 16:00
Sabato - Domenica: Chiuso
Contatti Diretti
Telefono Studio: +39 011 4373857
Email: reception@buniato.it
WhatsApp Patient Care (Info/Appuntamenti): +39 342 5096364
WhatsApp Emergenze Mediche: +39 329 4738155
Verifiche Esterne
Se preferisci verificare prima di contattarci, puoi leggere le recensioni Google o aprire il profilo ufficiale dello studio su AlfaDocs.
Indirizzo
Studio Dentistico Dott. Buniato Gianluca Maria
Corso Francia 30, 10143 Torino (TO), Italia
Nel cuore di Torino, facilmente accessibile. Fermata Metro Principi d'Acaja. A pochi minuti da Porta Susa, Piazza Statuto, e Cit Turin.