Tecnologie · 6 min di lettura

CBCT dal Dentista a Torino: Quando Serve Davvero

CBCT dal Dentista a Torino: Quando Serve Davvero

La CBCT (Cone Beam Computed Tomography) è un esame radiologico tridimensionale che consente di visualizzare le strutture anatomiche del cavo orale con una precisione non raggiungibile dalla radiografia tradizionale, utilizzando dosi di radiazioni contenute e modulabili in base al quesito clinico specifico.

Chi deve affrontare un intervento di implantologia, una valutazione endodontica complessa o una chirurgia del mascellare si trova spesso davanti a una domanda concreta: serve davvero una TAC 3D? E quante radiazioni comporta?

Sono domande legittime. La risposta richiede di distinguere tra ciò che la radiografia bidimensionale può mostrare e ciò che solo la terza dimensione rende visibile, senza sottovalutare il tema della dose.

Cosa vede la CBCT che una radiografia tradizionale non mostra

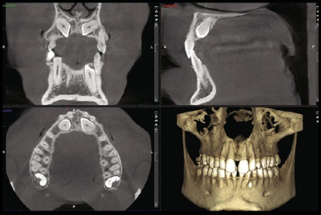
Una radiografia panoramica (OPG) fornisce un’immagine bidimensionale in cui le strutture si sovrappongono. Questo è sufficiente per molte valutazioni di routine, ma diventa un limite quando il clinico deve misurare con precisione il volume osseo disponibile per un impianto, individuare una frattura radicolare o mappare il decorso del nervo alveolare inferiore prima di un intervento chirurgico.

La CBCT ricostruisce un volume tridimensionale del distretto esaminato: l’odontoiatra può navigare l’anatomia strato per strato, misurare distanze reali e non proiezioni, e identificare strutture che in due dimensioni resterebbero nascoste. Nel nostro studio utilizziamo il sistema CBCT Planmeca, che consente di selezionare il campo di vista (FOV) e i parametri di esposizione in funzione del quesito clinico specifico.

Quando la CBCT è clinicamente indicata

L’esame si prescrive quando il beneficio diagnostico atteso supera il rischio radiologico e quando l’informazione necessaria non è ottenibile con tecniche a dose inferiore. Le indicazioni principali in odontoiatria comprendono:

  • Implantologia: pianificazione tridimensionale dell’inserimento implantare con conoscenza esatta di spessore e altezza ossea, densità del sito ricevente e posizione delle strutture nobili. Nel nostro studio la CBCT si integra nel workflow implantare Nobel Biocare per la progettazione guidata.
  • Endodonzia complessa: fratture radicolari, anatomie canalari atipiche, complicanze di trattamenti pregressi. La letteratura conferma che la CBCT mantiene un’accuratezza diagnostica affidabile per la valutazione di condizioni endodontiche anche con protocolli a dose ridotta (Al-Haj Husain et al., 2026), supportando il lavoro sotto microscopio operatorio.
  • Chirurgia dei terzi molari: quando la panoramica suggerisce vicinanza tra radici del dente del giudizio e canale del nervo alveolare, la CBCT chiarisce il rapporto spaziale reale.
  • Patologia periapicale e parodontale: lesioni non evidenti in radiografia convenzionale o difetti ossei complessi che richiedono valutazione volumetrica.

Non tutte le situazioni richiedono la CBCT. Una carie iniziale, un controllo di routine o una valutazione parodontale di base si gestiscono con radiografia endorale o panoramica. La scelta dell’esame segue sempre il quesito clinico.

La questione della dose: dati concreti

Il timore delle radiazioni è comprensibile, ma merita di essere contestualizzato con i dati disponibili. Una revisione sistematica che ha analizzato 23 studi ha identificato almeno 13 fattori tecnici modificabili che influenzano la dose efficace di una CBCT: tra questi il voltaggio (kV), l’amperaggio (mA), il campo di vista (FOV), l’angolo di rotazione, la dimensione del voxel e il tempo di esposizione (Moura et al., 2019).

Questo significa che la dose non è un valore fisso: dipende da come l’esame viene impostato e da quale volume anatomico viene acquisito. Utilizzare un FOV piccolo e centrato sull’area di interesse riduce significativamente l’esposizione rispetto a una scansione dell’intero cranio.

La ricerca ha inoltre dimostrato che è possibile ridurre la dose CBCT di circa il 20% rispetto ai parametri standard del produttore senza compromettere l’accuratezza diagnostica per il rilevamento di fratture radicolari (Yalda et al., 2022). Lo stesso studio ha evidenziato che l’impostazione ad alta risoluzione non migliora significativamente l’accuratezza rispetto ai parametri standard: un dato che rafforza l’importanza di scegliere il protocollo adeguato al quesito, evitando esposizioni non necessarie.

La revisione sistematica ha anche rilevato che scanner CBCT diversi, con parametri di esposizione simili, producono dosi efficaci significativamente differenti (Moura et al., 2019). La scelta dell’apparecchiatura non è un dettaglio secondario.

Come utilizziamo la CBCT nel nostro studio a Torino

Nel nostro studio in Corso Francia 30, Torino, la CBCT Planmeca si inserisce in un flusso diagnostico integrato. L’esame viene prescritto quando il quesito clinico lo giustifica e viene eseguito con parametri ottimizzati per il caso specifico, selezionando campo di vista e risoluzione in funzione dell’informazione necessaria.

I dati tridimensionali acquisiti si integrano con le scansioni dello scanner intraorale 3Shape TRIOS 6 e con l’analisi clinica diretta per costruire un quadro diagnostico completo. In implantologia, questo consente di pianificare posizione, inclinazione e profondità dell’impianto prima dell’intervento. In endodonzia, la mappa tridimensionale guida il lavoro sotto microscopio operatorio Leica.

L’obiettivo non è fare più esami, ma fare gli esami giusti: quelli che cambiano concretamente la diagnosi e il piano di trattamento.

Domande frequenti

La CBCT è dolorosa o invasiva?

No. L’esame dura pochi secondi, non richiede preparazione e non comporta contatto fisico oltre al posizionamento del mento sull’apposito supporto. Il paziente resta in piedi o seduto e l’apparecchio ruota intorno alla testa senza toccarla.

Quante radiazioni comporta una CBCT rispetto a una TAC tradizionale?

La dose di una CBCT dentale è significativamente inferiore a quella di una TC multislice convenzionale del massiccio facciale. La dose effettiva dipende dai parametri utilizzati e dal campo di vista selezionato. Come documentato dalla letteratura, almeno 13 fattori tecnici possono essere ottimizzati per contenere l’esposizione mantenendo la qualità diagnostica (Moura et al., 2019).

Tutti i pazienti devono fare la CBCT?

No. La CBCT viene prescritta solo quando il quesito clinico non può essere risolto con la radiografia convenzionale. Per controlli di routine, carie semplici o valutazioni parodontali standard, la radiografia endorale o la panoramica restano gli esami di riferimento. L’esame tridimensionale è riservato ai casi in cui l’informazione aggiuntiva modifica concretamente la diagnosi o il piano terapeutico.

La CBCT è sicura in gravidanza?

Come per qualsiasi esame radiologico, la CBCT in gravidanza viene valutata caso per caso secondo il principio di giustificazione. In generale, gli esami radiologici non urgenti vengono rinviati a dopo il parto. In caso di necessità clinica documentata, il clinico valuta il rapporto rischio-beneficio con la paziente.

Per una valutazione personalizzata del suo caso, il Dott. Buniato è a disposizione per una prima visita specialistica con analisi diagnostica completa.


Fonti

  1. Moura WS, Chiqueto K, Pithon GM, Neves LS, Castro R, Henriques JFC. Factors influencing the effective dose associated with CBCT: a systematic review. Clin Oral Investig. 2019;23(3). doi:10.1007/s00784-018-2561-4. Disponibile su: PubMed.
  2. Yalda FA, Theodorakou C, Clarkson RJ, Davies J, Feinberg L, Sengupta A. Determination of a cone-beam CT low-dose protocol for root fracture diagnosis in non-endodontically treated anterior maxillary teeth. Dentomaxillofac Radiol. 2022;51(2):20210138. doi:10.1259/dmfr.20210138. Disponibile su: PubMed.
  3. Al-Haj Husain A, Mergen V, Al-Haj Husain N, Alkadhi H, Demmert TT, Essig H. Photon-counting detector vs. cone-beam CT in endodontics: a study of simulated endodontic conditions, treatments, and associated complications. BMC Oral Health. 2026;26. doi:10.1186/s12903-026-07765-1. Disponibile su: PubMed.

Il prossimo passo verso l'eccellenza.

La segreteria di direzione è a disposizione per illustrarle i nostri percorsi clinici su misura.

Condividi
Dott. Gianluca Maria Buniato

Dott. Gianluca Maria Buniato

Odontoiatra e Direttore Sanitario dello Studio Dentistico Buniato a Torino. Formazione internazionale in implantologia avanzata, estetica sartoriale e chirurgia rigenerativa.